发表时间:2026-02-03 14:50:11

患者,男性,59岁。因“全身烫伤2个月,无尿半月”于6月9日入院。患者于4月11日工作时不慎跌入降温池,致全身大面积烫伤(Ⅱ~Ⅲ度烫伤面积达60%),以双下肢及臀部较重。外院测血压138/79 mmHg,WBC 28.4×109/L,N/L 91.2/7,Hb 212 g/L,PLT 215×109/L,CRP 19.69 mg/L,Alb 26.1g/L,BUN 11.2 0 mmol/L,Scr 172.38 μmol/L,UA 435 μmol/L,未行尿液检查。胸部CT示“右肺陈旧病变,主动脉弓粥样硬化”;予输注血浆、补液后尿量维持于1500~2000 ml/24h,血压正常,复查Scr降至59.2 μmol/L。4月18日行“生物辅料覆盖术”1次,4月25日、5月2日、5月10日分别行“削痂植皮术”3次,手术顺利;期间反复发热,体温最高38.8℃,CRP最高159.44 mg/L,先后予左氧氟沙星、头孢曲松钠、替硝唑、氨曲南抗感染,间断口服对乙酰氨基酚片退热。5月10日术后渐出现全身水肿、胸闷、气喘、腹胀等症状,尿色加深(呈酱油色),尿量逐渐减少,血压最高200/100 mmHg,5月23日尿量减至100 ml/24h,Scr不详。5月25日予右侧股静脉置管、连续性肾脏替代治疗(CRRT)。右侧胸腔穿刺抽出900 ml淡红色胸腔积液并留置胸腔引流管(引流血性液体100~200 ml/d,1周后拔管),继续抗感染治疗(具体不详);水肿虽明显改善,但少尿持续。6月3日改为间断血液透析(HD),头孢哌酮/舒巴坦抗感染。患者精神差,乏力,食欲差,睡眠一般,体重变化不详,便溏,尿量约200 ml/24h。
既往史、个人史、家族史无特殊。
体格检查:体温36.5℃,脉搏101次/分,呼吸18次/分,血压162/83 mmHg。神清、精神欠佳,营养一般,全身皮肤大面积烫伤后表现,以臀部及双下肢为重,表面干燥,已结痂、脱屑,左膝、左踝以绷带包裹。双上肢、前胸、后背可见植皮供区瘢痕。浅表淋巴结未扪及肿大;咽不红,扁桃体不大。胸部右腋后线第6肋间可见一胸腔引流管,右下肺叩诊呈浊音,呼吸音减弱。心、腹部未见明显异常。双下肢无明显浮肿,肌肉萎缩,肌力Ⅲ级,肌张力减弱;双膝关节呈屈曲位;右股静脉置管在位。
辅助检查:尿液检查:尿蛋白定量3.17 g/24h(尿量800 ml/24h),WBC 0~1/HP;尿沉渣红细胞计数12 500万/ml(多形型);管型阴性;尿糖2+;尿嗜酸性粒细胞计数0。NGAL 66.02 μg/L,KIM-1 9.74 μg/L,IL-18 39.33 ng/L;尿渗量273 mOsm/(kg·H2O)。血常规:WBC 9×109/L,Hb 101 g/L,PLT 121×109/L,CRP 47 mg/L。血生化:Alb 35.6 g/L,Glo 24.9 g/L,ALT 7 U/L,AST 21 U/L,BUN 8.50 mmol/L,Scr 604.66 μmol/L,UA 284 μmol/L;TC 5.99 mmol/L,TG 0.93 mmol/L;钠142.1 mmol/L,钾3.62 mmol/L,氯104.5 mmol/L,总二氧化碳23.2 mmol/L,钙2.04 mmol/L,磷1.73 mmol/L。免疫学检查:IgG 9.01 g/L,IgA 2.68 g/L,IgM 0.397 g/L,ASO 28.5 IU/ml,RF<20。ANA、抗ds-DNA抗体阴性,ANCA、抗GBM抗体、抗TBM抗体阴性;补体C3 0.809 g/L,C4 0.361 g/L。B超:左肾113 mm×51 mm×50 mm、右肾105 mm×53 mm 52 mm,肾皮质厚度不清,皮质回声增强,皮髓界限不清,集合系统松散,左肾中极见一大小约8 mm×9 mm的类圆形无回声区,界清。双肾轮廓规则,包膜连续完整,结构不清楚;双肾内未见肾盂肾盏扩张。肺部CT:两肺散在炎症,心包积液,两侧胸腔积液;双侧腋窝内多发小淋巴结;主动脉及冠状动脉粥样硬化。
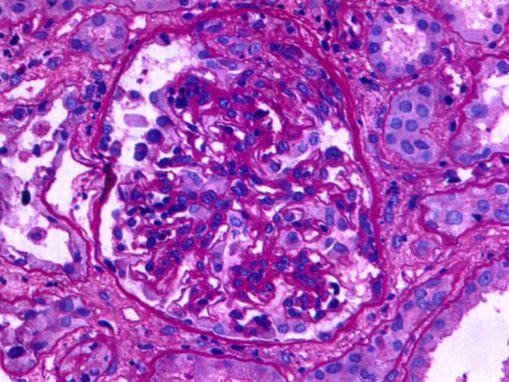
肾活检病理:光镜:皮质肾组织2条,16个肾小球,均见新月体(13个细胞性、3个细胞纤维性新月体)(图1),部分为环状体、挤压血管袢开放差。肾小球系膜区轻~中度增宽,毛细血管袢开放欠好,节段袢内皮细胞成对,单个核细胞及中性粒细胞浸润1~5个/球,节段球袢内炎性细胞堵塞袢腔,囊壁节段增厚。

图1
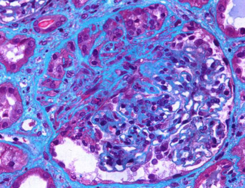
PASM-Masson:肾小球未见明确嗜复红物沉积(图2)。

图2
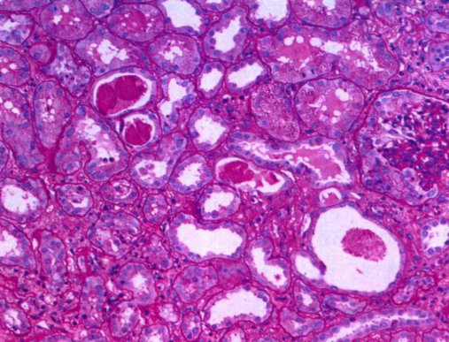
肾小管间质急性病变中度,灶性肾小管上皮细胞刷状缘脱落(图3),上皮细胞胞质粗颗粒变性,管腔内蛋白及红细胞管型,间质散在单个核细胞浸润,数处小管炎,偶见中性粒细胞。小叶间动脉内膜增厚。

图3
免疫荧光:IgA++、C3++,弥漫分布,呈颗粒状弥漫沉积于系膜区和肾小球血管袢。IgG、IgM、C1q阴性。纤维蛋白染色多个新月体阳性(图4)。

图4
电镜:肾小球毛细血管袢开放好,袢腔内见红细胞及胞质连拱状的内皮细胞,节段内皮细胞与基膜剥离,毛细血管袢基膜节段扭曲,基膜厚398~983nm,节段薄处仅256nm;节段基膜与基膜粘连,偶见基膜断裂。肾小球节段系膜区增宽,基膜样物质增多。肾小球足细胞足突广泛融合>80%,少量微绒毛化。系膜区少量(图5),毛细血管内皮下偶见中一高电子密度致密物沉积。

图5
治疗:入院后患者持续无尿,肾功能差,予CRRT稳定内环境、输注血浆,并加强营养支持;患者有肉眼血尿,肾活检见急性活动性病变(新月体100%,袢内炎细胞浸润及急性肾小管间质病变),予MP 2.5 g(0.5g×5次)冲击治疗,后续予MP 40mg/d静脉滴注控制肾脏病变,并于7月3日静脉滴注CT× 0.6g,以及泼尼松30 mg/d,促红细胞生成素促进肾间质修复,并嘱患者积极行双下肢功能锻炼。经综合治疗后尿量逐渐增多至1500~2000 ml/24h,尿沉渣红细胞计数较前明显减少,但仍有间歇肉眼血尿发作,Scr进行性下降,予拔除股静脉置管,7月15日出院。半月后门诊复查4.19 g/24h(尿量1400 ml),尿沉渣红细胞计数4000万/ml(多形),Scr 266.97 μmol/L,Hb 103 g/L,予Pred减至25 mg/d,并予CT× 0.8 g冲击治疗1次。半年后门诊随访,CT×共冲击5.8 g,Pred 10 mg/d,查尿蛋白0.86 g/24h(尿量1600 ml),尿沉渣红细胞计数110万/ml(多形),Scr 186.5 μmol/L,血红蛋白105 g/L。
最后诊断:大面积深度烫伤;伴有IgA沉积的急性感染后肾炎(100%肾小球新月体形成);急性肾损伤(3期)。
感染是导致烧伤后AKI的重要原因。细菌、真菌、病毒感染都可以并发AKI。如革兰阴性杆菌可以释放大量内毒素与体内产生的补体、抗体结合,刺激交感神经引起血管痉挛、损伤血管内皮细胞,严重者可引起脓毒性休克和AKI。烧伤后出现IgAN并非少见,也与烧伤后继发感染相关,主要病原菌为革兰阴性菌、耐药金黄色葡萄球菌等。金黄色葡萄球菌等。金黄色葡萄球菌可引起IgAN,约70%的IgAN患者肾小球上存在着金黄色葡萄球菌包被抗原。在IgAN及耐甲氧西林金黄色葡萄球菌感染后的患者血清内存在着高滴度的抗金黄色葡萄球菌抗体(IgG和IgA亚型)[3]。
通常来说,烧伤后IgAN大都仅表现为系膜增生性病变,极少有新月体形成。本文患者新月体比例为100%,且免疫复合物沉积于血管袢,免疫荧光和电镜均未见免疫复合物在系膜区沉积及IgAN典型特点,因而本例患者不能诊断为IgAN,而是考虑为伴IgA沉积的急性感染后肾炎。
继发于金黄色葡萄球菌感染的以IgA沉积为主的增生性肾小球肾炎也有报道,一般以老年男性患者居多,感染源主要为皮肤、深部脓肿、手术创伤、肺炎及关节炎,临床表现为急进性肾炎综合征,多数患者补体正常,这与典型的急性链球菌感染后肾小球肾炎有明显的区别。这些患者起病时感染症状不明显,约68%患者病原学结果为耐甲氧西林金黄色葡萄球菌。此病的发病机制尚不明确,主要包括葡萄球菌的超抗原作用,葡萄球菌肠毒素作为超抗原,直接与抗体产生细胞的细胞膜及T淋巴细胞受体的特异性Vβ链上的人免疫组织相容性复合物-Ⅱ(MHC-Ⅱ)结合,从而导致T细胞的增殖和活化,产生大量细胞因子(如IL-1、IL-2、IL-6、TNF、γ干扰素),进一步激活B淋巴细胞,产生多克隆IgG和IgA,与细菌抗原形成免疫复合物沉积于肾小球上。其光镜下的组织学表现为多种类型,如系膜及内皮细胞增生、纤维性或细胞性新月体、间质纤维化等。少数患者可见类似于冷球蛋白的透明栓塞。免疫荧光主要为IgA沉积或IgA与IgG同时沉积于肾小球系膜区;大部分病例电镜可见系膜区高密度电子致密物沉积,上皮侧“驼峰”罕见。此类患者若未发现明显的感染,极易被误诊为特发性IgAN[4,5]。
该患者在烫伤治疗后出现急进性肾炎综合征,肾活检示IgA沉积于血管袢,新月体形成100%,诊断为伴有IgA沉积的急性感染后肾炎。病因考虑与烧伤后感染有关,但致病菌尚不明确,全身感染控制后给予MP和CT×等药物治疗后,尿量增多,摆脱肾脏替代治疗,尿检结果明显改善。
参考文献:
[1] Enescu DM, Parasca SV, Badoiu SC, Miricescu D, Ripszky Totan A, Stanescu-Spinu II, Greabu M, Jinga V. Hypo×ia-Inducible Factors and Burn-Associated Acute Kidney Injury-A New Paradigm? Int J Mol Sci. 2022 Feb 23;23(5):2470.
[2] Folkestad T, Brurberg KG, Nordhuus KM, Tveiten CK, Guttormsen AB, Os I, Beitland S. Acute kidney injury in burn patients admitted to the intensive care unit: a systematic review and meta-analysis. Crit Care. 2020 Jan 2;24(1):2.
[3] Westgeest AC, Schippers EF, Delfos NM, Visser LG, de Fijter JW, de Boer MGJ, Lambregts MMC. Acute kidney injury in Staphylococcus aureus bacteremia. Eur J Clin Microbiol Infect Dis. 2022 Mar;41(3):431-437. [4] Buis DTP, van der Vaart TW, Mohan A, Prins JM, van der Meer JTM, Bonten MJM, Jakulj L, van Werkhoven CH, Sigaloff KCE. Acute kidney injury in Staphylococcus aureus bacteraemia: a recurrent events analysis. Clin Microbiol Infect. 2024 Oct;30(10):1270-1275.
[5] Legg A, Ferguson JK, Munnoch SA, Davis JS. Not "a cute" complication: phenotypic analysis of acute kidney injury in Staphylococcus aureus bacteraemia. Clin Microbiol Infect. 2025 Apr;31(4):643-646.