膜性肾病(MN)是成人肾病综合征常见病因,以肾小球上皮下免疫复合物沉积、基底膜增厚为特征;抗肾小球基底膜(GBM)病为罕见急进性肾炎,以抗GBM抗体阳性、新月体形成为特点,二者合并发生极为罕见,诊疗挑战显著。MN合并抗GBM病兼具两类疾病表现:既有大量蛋白尿、低蛋白血症等肾病综合征特征,又有血尿、血肌酐进行性升高的急进性肾炎表现,易误诊。此类患者抗GBM抗体抗原谱窄、以IgG4亚型为主,肾损伤程度较单纯抗GBM病轻,经血浆置换联合强化免疫抑制治疗后预后更佳。本文报道1例43岁该类患者的诊疗经过,结合病理与干预策略,探讨其诊断思路与治疗要点,为临床精准诊疗提供参考。
一、临床资料男性,43岁。主诉:双眼睑、双下肢水肿40余天,发现血肌酐升高20天。
现病史:40余天前无诱因出现双眼睑、双下肢水肿,伴尿色加深,尿量正常。当地医院查血压正常,尿常规PRO(+++),红细胞80~100/HP,予“青霉素”治疗5天后,双下肢水肿减轻。查尿蛋白定量10.47g/d,SCr 107.9μmol/L,ALB 25.8g/L,IgG 3.56g/L,C 31.87g/L,RF、ANA及ANCA均阴性。1个月前于外院行肾穿刺,病理示免疫荧光IgG(++),C3(+),沿毛细血管壁线样沉积。光镜示多数新月体形成。电镜符合Ⅰ期膜性肾病。予甲泼尼龙冲击治疗3次(具体不详),环磷酰胺1g静脉输注,继之以泼尼松60mg每日一次口服至今。患者眼睑及双下肢水肿逐渐加重,伴尿量减少,700~800 ml/d。近20天SCr进行性升高至271μmol/L,为进一步诊疗收入院。
既往史:体健。吸烟25年,40支/日。偶有饮酒。
入院查体:体温36.5℃,脉搏60次/分,血压140/90mmHg,呼吸22次/分。听诊双肺呼吸音粗,未及干湿啰音。心脏和腹部查体未见明显异常。双下肢重度水肿。
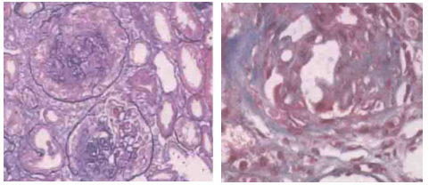
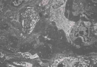
辅助检查:借阅外院肾活检病理:免疫荧光IgG(++),IgA(-),IgM(±),C3(+),FRA(-),C1q(-),沿毛细血管壁粗线样沉积(图1)。光镜可见23个肾小球,毛细血管袢严重破坏,伴多数新月体形成,9个细胞性、1个细胞纤维性新月体,1个节段性坏死。肾小管上皮颗粒及空泡变性,多灶状萎缩,肾间质多灶状淋巴单核浸润伴纤维化,小动脉管壁增厚(图2)。结合荧光考虑新月体性肾炎Ⅰ型可能性大。电镜:肾小球基底膜轻度增厚,上皮下电子致密物沉积,上皮细胞足突融合,肾小管上皮细胞溶酶体增多,灶状萎缩,肾间质淋巴单核细胞浸润(图3),符合Ⅰ期膜性肾病。

图1

图2

图3
初步诊断:抗肾小球基底膜病;急进性肾炎Ⅰ型急性肾损伤;肾病综合征;膜性肾病。
二、诊断思路和临床诊治经过患者为中年男性,临床表现为肾病综合征,肾脏病理提示肾小球基底膜增厚,上皮下电子致密物沉积,上皮细胞足突融合,因此Ⅰ期膜性肾病诊断明确。同时患者临床表现有血尿,血肌酐进行性升高伴尿量减少,符合急进性肾炎综合征,结合肾脏病理免疫荧光可见IgG(++),C3(+),沿毛细血管壁线样沉积,以及光镜可见多数新月体形成,考虑抗肾小球基底膜病诊断明确。
尽管患者入院前已行甲泼尼龙冲击及静脉环磷酰胺等免疫抑制治疗,但血肌酐水平仍进行性升高,肾功能恶化。入院后查血清抗GBM抗体,结果为阳性,给予血浆置换5次,直至抗体转阴。同时继续激素治疗,将环磷酰胺改为50mg每日2次口服。患者尿量逐渐恢复正常,血肌酐降至139 μmol/L。出院后规律随访,肾功能逐渐恢复正常,尿蛋白转阴。
最终诊断:抗肾小球基底膜病;急进性肾炎Ⅰ型;急性肾衰竭;肾病综合征;膜性肾病;慢性肾脏病2期。
三、讨论抗肾小球基底膜(anti-GBM)病是一种罕见且凶险的自身免疫性疾病,其病理核心是针对基底膜Ⅳ型胶原α3链NC1结构域的自身抗体介导的损伤。该病典型表现为急进性肾小球肾炎(RPGN),常伴有肺出血。虽然原发性抗GBM病最为常见,但继发性或合并其他肾小球疾病的情况也时有报道。其中,抗GBM病合并膜性肾病(MN)是最常见的重叠综合征之一,其他还可见于IgA肾病、局灶节段性肾小球硬化(FSGS)等。自1974年Vallancien等首次报道以来,关于两者并存的病例逐渐增多。流行病学数据显示,在这些病例中,抗GBM病多继发于MN之后或两者同时确诊,而抗GBM病先于MN发生的情况极为罕见。这种时间分布特征暗示了两者之间可能存在特定的病理生理联系[1.2]。
本病例患者同时具备抗GBM病和MN的双重病理特征。与典型的单纯抗GBM病相比,合并MN的患者表现出显著不同的临床表型,这种差异具有重要的鉴别诊断价值。
首先,蛋白尿水平显著升高。典型抗GBM病的蛋白尿通常为轻至中度,而合并MN的患者由于MN导致的电荷屏障和结构屏障受损,常表现为大量蛋白尿,甚至达到肾病综合征(NS)的诊断标准。文献统计显示,此类患者发生肾病综合征的比例远高于单纯抗GBM病患者。其次,肾脏损伤程度相对较轻。尽管存在新月体性肾炎的病理基础,但合并MN的患者在确诊时的血肌酐水平往往低于典型抗GBM病患者。这可能与MN的慢性病理改变缓冲了部分急性损伤,或与抗体本身的致病强度较弱有关。最后,少尿/无尿及肉眼血尿发生率较低。典型抗GBM病起病急骤,常迅速进展为少尿型急性肾衰竭,而合并MN的患者肾功能恶化相对平缓,且较少出现肉眼血尿。
这种独特的临床表型直接影响了患者的预后。在接受标准的血浆置换(PE)联合强化免疫抑制治疗(糖皮质激素+环磷酰胺)后,合并MN的抗GBM病患者展现出了优于典型患者的治疗反应。
既往研究表明,典型抗GBM病预后极差,若不治疗几乎均进展为终末期肾病(ESRD)。即使经过积极治疗,其1年肾脏存活率也仅为13.3%左右。然而,合并MN的抗GBM病患者构成了一个“特殊的幸存者群体”。多项回顾性研究显示,此类患者的1年肾脏存活率可高达62.5%。这一显著差异提示,尽管病情复杂,此类患者的肾脏组织可能保留了更多的可逆性损伤成分。因此,临床医生应尽早通过肾活检明确诊断,及时给予同等强度的血浆置换和免疫抑制治疗,以最大程度清除致病抗体,改善预后[3,4]。
关于抗GBM病合并MN的发病机制,目前的免疫学研究主要集中在以下三个方面[5-7]:
(1)自身抗体的免疫特性差异研究发现,此类患者体内的抗GBM抗体具有独特的免疫学指纹。与典型患者体内高滴度、识别广泛表位的IgG1/IgG3抗体不同,合并MN患者的抗体滴度相对较低,抗原谱较窄,且主要以IgG4亚型为主。IgG4被认为是一种“弱致病性”亚型,其无法有效激活补体经典途径(缺乏C1q结合位点),也不能强力介导抗体依赖的细胞毒性作用(ADCC)。这一免疫学特征很好地解释了为何此类患者虽然有新月体形成,但肾损伤程度相对较轻,且预后较好。
(2)抗原暴露与表位扩展假说关于两种疾病并存的原因,“抗原暴露”理论最为普遍。该理论认为,MN患者上皮下免疫复合物的长期沉积导致GBM结构受损,使原本处于遮蔽状态的自身抗原(Ⅳ型胶原α3链和α4链)暴露,从而诱发抗GBM抗体的产生。
(3)分子同源性与动物实验证据分子生物学证实,MN病理特征性的“钉突”成分正是Ⅳ型胶原的α3和α4链,这与抗GBM抗体的靶抗原完全一致。新近的动物实验进一步验证了这一机制:研究人员利用α3(IV)NC1抗原免疫DBA/1小鼠发现,低剂量/低频次免疫主要诱导MN样病理改变;而增加免疫剂量和次数后,小鼠则发展为典型的新月体性肾炎。这提示抗GBM病和MN可能并非完全独立的疾病,而是机体对同一抗原产生的不同强度或不同阶段的免疫反应。MN可能代表了免疫反应相对温和、局限于上皮侧的早期阶段,而抗GBM病则是免疫反应突破屏障、深入基底膜导致的剧烈损伤阶段。
综上所述,抗GBM病合并膜性肾病是一种具有独特临床病理特征的重叠综合征。其预后显著优于单纯抗GBM病,这可能与IgG4亚型抗体的弱致病性及MN导致的抗原暴露机制有关。早期肾活检确诊及及时的血浆置换治疗是挽救患者肾功能的关键。
参考文献:
[1] Klassen J, Elwood C, Grossberg AL, et al. Evolution of membranous nephropathy into anti-glomerular-basement-membrane glomerulonephritis.?N Engl J Med. 1974;290(24):1340-1344.
[2] Zhang S, Li C, Huang J, et al. Clinical and pathological features of anti-glomerular basement membrane disease associated with membranous nephropathy: an observational study.?Ren Fail. 2022;44(1):1904-1914.
[3] Levy JB, Turner AN, Rees AJ, Pusey CD. Long-term outcome of anti-glomerular basement membrane antibody disease treated with plasma exchange and immunosuppression.?Ann Intern Med. 2001;134(11):1033-1042.
[4] Zhang S, Li C, Huang J, et al. Clinical and pathological features of anti-glomerular basement membrane disease associated with membranous nephropathy: an observational study. Ren Fail. 2022;44(1):1904-1914.
[5] Glassock RJ. Membranous Nephropathy Due to Anti-GBM Antibodies of Mice and Men.?Am J Nephrol. 2020;51(2):96-98.
[6] Wu Y, Zhang L, Zhao Z. Clinicopathological features and predictors of anti-GBM disease combined with membranous nephropathy.?Clin Kidney J. 2025;18(3):sfaf014. Published 2025 Feb 27.
[7] Bu L, Said SM, Herrera Hernandez L, et al. The Characteristics of Concurrent Anti-Glomerular Basement Membrane Nephritis and Membranous Nephropathy. Kidney Int Rep. 2023;8(10):2164-2167. Published 2023 Aug 11.