发表时间:2026-02-03 09:25:04
编者按
IgA肾病是发展中国家最常见的原发性肾小球肾炎类型,通常表现为无症状性血尿伴不同程度蛋白尿,且大多数患者的临床表现局限于肾脏。本文介绍两例IgA肾病病例,一例以电解质紊乱作为IgA肾病初始表现,另一例则以弥漫性肺泡出血为首发症状。
病例一:以电解质紊乱为首发表现的IgA肾病
IgA肾病通常表现为无症状性血尿伴不同程度蛋白尿,而以电解质紊乱作为IgA肾病初始表现的情况极为罕见。迄今为止,仅有少数文献记载了Gitelman综合征与免疫复合物介导的肾病共存的情况。印度的Zafirah Zahir和 ASIF WANI报告了一例Gitelman综合征与IgA肾病共存的罕见病例,强调了该患者人群可能出现不典型临床表现。
病例简介
一名20岁男性患者因“视物模糊、头痛”至医院门诊就诊。初次测血压为200/100 mm Hg。除有5年吸烟史外,无其他显著既往病史。体格检查无特殊异常,但四肢血压测量均显示持续升高。眼底镜检查发现Ⅲ级高血压性视网膜病变伴视乳头水肿,心脏超声提示向心性左心室肥厚。
血液学参数均在正常范围内。生化检查显示低钾血症(血钾:2.5 mmol/L)和代谢性碱中毒(pH:7.50,pCO2:47 mmHg,HCO3-:30 mmol/L,BE:+7)。血浆醛固酮水平升高(18.30 ng/dl),直接肾素水平显著增高(>500 μIU/ml)。肾脏多普勒超声结果正常。因存在高肾素血症,Liddle综合征可被排除。腹部增强CT未见明显异常。进一步检查发现低钙血症(7.2 mg/dl),血镁(1.7 mg/dl)和血磷(3.2 mg/dl)水平正常。24小时尿钙(86 mg)和尿镁(43 mg/dl)排泄均减少,符合Gitelman综合征表型。尿液分析显示肾病范围蛋白尿伴活动性尿沉渣,其他实验室指标均在正常范围内。
肾活检显示肾小球系膜增生(M1)及毛细血管内增生(E1),未见节段性肾小球硬化(S0)或新月体形成(C0)。间质纤维化及肾小管萎缩程度小于10%(T0)。免疫荧光显示以系膜区IgA沉积为主。
患者接受替米沙坦和依普利酮治疗,并予以钾和钙补充。因蛋白尿持续存在,启动糖皮质激素治疗并在六个月内逐渐减量。在最近一次随访中,患者达到完全缓解,电解质水平恢复正常。
临床启示
病例二:弥漫性肺泡出血作为IgA肾病非典型首发表现
大多数IgA肾病患者的临床表现局限于肾脏,但在极少数情况下,IgA肾病的首发表现可能涉及肺部。弥漫性肺泡出血(diffuse alveolar hemorrhage,DAH)作为IgA肾病的初始临床表现极为罕见。通常情况下,肾-肺综合征多见于ANCA相关性血管炎,其典型特征为弥漫性肺泡出血联合快速进展性肾小球肾炎(RPGN)。然而,少数ANCA阴性的血管炎,包括IgA肾病,也可能出现类似表现。墨西哥的José Fidel Véliz Escobar等报道了一例以DAH为首发症状的IgA肾病患者。
病例简介

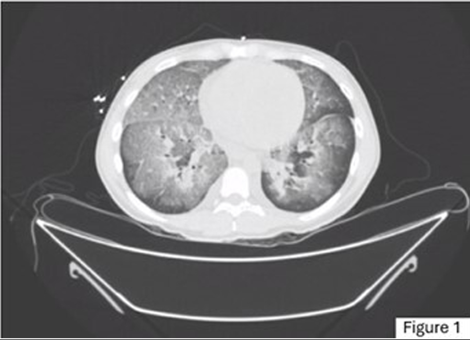
图1. 胸部CT提示弥漫性肺泡出血
实验室检查结果显示:血清肌酐(SCr)19.6 mg/dl,肾小球滤过率(GFR,CKD-EPI)2.3 ml/min/1.73m²(CKD-EPI 公式计算),血尿素氮(BUN)160 mg/dl,血钠138 mmol/L,血钾7 mmol/L,补休C3为106 mg/dl,补休C4为24.1 mg/dl。免疫学检查中,抗肾小球基底膜抗体(Anti-GBM)、抗双链DNA抗体(Anti-dsDNA)、P-ANCA和C-ANCA均为阴性。尿液分析显示红细胞约30个/高倍视野,蛋白30 mg/dl。血气分析提示阴离子间隙增高型代谢性酸中毒。
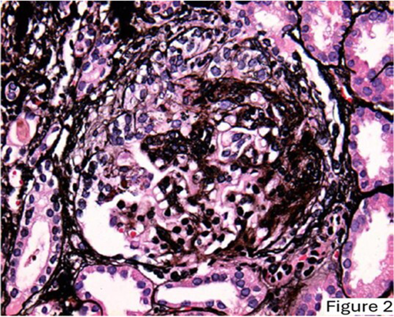
鉴于临床高度怀疑血管炎,予以患者血浆置换治疗,共进行5次,总置换血浆量1797 ml。治疗后咯血症状缓解。然而,肾功能未见改善。肾穿刺活检提示:IgA肾病,伴新月体形成(纤维细胞性)、间质纤维化Ⅲ级(>50%)、间质性肾炎及慢性小动脉病变(图2、3)。患者最终因肾功能未恢复,转为长期腹膜透析治疗。

图2. 肾穿刺活检所见

图3. 肾穿刺活检结果(免疫荧光染色)
IgA肾病临床表现多样,可累及肾脏内外多个系统。本病例为罕见的IgA肾病合并DAH表现。有关这种合并情况的证据较为匮乏。已有文献描述过肾脏与肺部同时受累及先后受累的情况,肾活检组织学类型可表现为新月体性肾小球肾炎、系膜增生性肾小球肾炎、膜性肾小球肾炎及纤维性肾小球肾炎等。
临床启示
此病例进一步强调了在DAH合并急性肾损伤患者中,除了常见的ANCA相关性血管炎外,也应考虑罕见的IgA肾病作为潜在病因。
参考文献
1.Zahir, Zafirah et al. WCN25-2980 ELECTROLYTE IMBALANCE AS A PRESENTING FEATURE IN IGA NEPHROPATHY: A CASE REPORT. Kidney International Reports, Volume 10, Issue 2, S217 - S218.
2.Véliz Escobar, José Fidel et al. WCN25-1387 DIFFUSE ALVEOLAR HEMORRHAGE AS AN ATYPICAL PRESENTATION FOR IgA NEPHROPATHY: CASE REPORT. Kidney International Reports, Volume 10, Issue 2, S132 - S133.