编者按:产后溶血尿毒综合征(postpartum hemolytic uremic syndrome,PHUS)指在产后以急性微血管病性溶血性贫血、血小板减少及急性肾功能衰竭三大特征为主的综合征,临床较为少见。其起病急骤,病情凶险,易导致多器官功能衰竭,威胁患者生命。
一、病例摘要患者,女性,26岁,主因“产后5天,少尿伴抽搐5天”入院。患者入院前5天在当地医院剖宫产下2名男婴,评分均为10-10,产后3小时无明显诱因下出现肉眼可见的血尿,为洗肉水样色,同时出现尿量减少。当时未予特殊处理,18小时后患者突发抽搐,为全身痉挛,牙关紧闭,神志不清,当时无口吐白沫,无角弓反张,无大小便失禁等。急测血压187/107 mmHg,予制动,并予地西泮针10 mg,硫酸镁针20 mg静脉推注,推注后抽搐持续1~2分钟后停止。急查头颅CT未见异常,急查血常规提示:WBC 21.7x109/L,N% 87.3,Hb 106 g/L,PLT 67x109/L。凝血酶原时间26.2秒,D二聚体4050 μg/L。查肾功能:Scr 17 μmol/L,尿素氮6.03 mmol/L。予转入ICU治疗,住院后查尿常规提示:尿蛋白(+++),尿糖(++++),谷丙转氨酶208 U/L,血肌酐300 μmol/L,超敏C反应蛋白81.3 mg/L。1天后复查头颅CT提示:两侧额叶低密度影。3天后头颅MRA提示:大脑上静脉与中、下静脉明显侧支循环开放,提示大脑中静脉及下静脉属支引流不畅,有静脉栓塞可能。住院期间,患者血肌酐进行性上升,最高达980 μmol/L,血小板进行性下降,最低达11x109/L,予行血浆置换、CRRT、降压、抗癫痫等治疗后,患者一般情况好转,抽搐基本控制后转我院诊治。
既往史:无特殊。
查体:BP 157/83mmHg,神志清,精神软,皮肤巩膜未见明显黄染,眼睑无水肿,颈静脉无怒张。两肺呼吸音粗,未及明显干湿啰音。心律齐,未及明显病理性杂音。腹软,未及明显压痛及反跳痛。双下肢见少量瘀斑,未见明显水肿。脑膜刺激征阴性,巴氏征未引出。
辅助检查:白细胞计数6.3x109/L,血红蛋白91 g/L,血小板计数7.8x109/L。尿常规蛋白(+),红细胞67.5/μl,pH 6.50,比重1.005。白蛋白39.1 g/L,肾小球滤过率(EPI)7.15 ml/min,肌酐983 μmol/L,尿素17.6 mmol/L,尿酸349 μmol/L,钾4.63 mmol/L,总钙2.28 mmol/L,无机磷1.96 mmol/L,谷丙转氨酶207 U/L,谷草转氨酶230 U/L,总胆红素20 μmol/L,直接胆红素7 μmol/L,间接胆红素13 μmol/L,乳酸脱氢酶308 U/L,总胆固醇7.93 mmol/L,甘油三酯4.11 mmol/L,血糖正常。凝血功能:凝血酶原时间23秒,部分凝血酶原时间40秒,纤维蛋白原1.7 g/L,D二聚体2003 μg/L。破碎红细胞:大于2%;网织红细胞计数>1%。24小时尿蛋白0.46 g。CRP 22.7 mg/dl,ESR 95 ml/h。肝炎甲乙丙丁戊前S1抗原抗体系列(-)、肿瘤指标(CEA+CA199+AFP +CA125)(-)、抗核抗体系列(ANA+dsDNA+RNP+Sm+SSa+SSa52+抗SSB+抗Scl-70+抗Jo-1)(-)、抗磷脂抗体(-)、MPO+PR3(-)、ANCA(-)、IgE、免疫球蛋白(IgG、IgM、IgA)+补体均正常。泌尿系彩超声:双肾饱满伴实质回声稍增高。双肾血管超声、腹部超声、产科超声未见异常。肺部CT:右下肺少许炎性病灶。头颅MRI:无特殊。
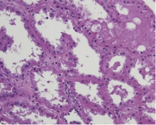
肾穿刺病理检查(图1):免疫荧光阴性。光镜:肾小球:小球系膜细胞和基质轻度增生,系膜基质轻度增多,内皮细胞肿胀,基底膜皱缩,未见嗜伊红蛋白沉积。肾小管:近曲上皮细胞多灶性颗粒变性,细胞空泡变性、肿胀,可见刷状缘脱落,可见红细胞管型,透明管型,崩解的细胞碎屑,近曲小管萎缩(10%)。肾间质:小灶单个核细胞、嗜酸性细胞浸润(10%),小灶纤维组织增生(10%)。小动脉内膜水肿。电镜:足突部分融合,基底膜内疏松层增宽,纤维素沉积。病理诊断:(肾穿刺)病理符合缺血性肾病改变伴肾小球上皮细胞损伤。

图1. 肾穿刺病理
入院诊断:产后溶血尿毒综合征。
诊治经过:1.血浆置换治疗共3次,同时密切监测LDH、血小板、破碎红细胞等指标。并联合CRRT治疗,肌酐下降至270 μmol/L,并尿量恢复至1000 ml/d以上后予停止透析。
2.激素治疗:静脉推注甲强龙40 mg/d,并予泮托拉唑护胃、碳酸钙补钙、监测血糖等,预防激素的不良反应。
3.抗凝治疗:予皮下注射低分子肝素4000 U/d,阿司匹林100 mg/d。
4.抗感染及营养支持治疗:予哌拉西林他唑巴坦4.5 g,2次/日抗感染及口服营养液支持治疗。
5.改善微循环:前列地尔注射液10 μg/d。
经上述治疗半月后,患者血肌酐下降至270 μmol/L,血小板、血色素、肝酶、胆红素、乳酸脱氢酶等基本恢复正常。患者尿量逐渐恢复至1000 ml/d以上,予脱离透析。继续抗凝,改善微循环等治疗,1个月后患者血肌酐下降至110 μmol/L,予出院继续口服药物治疗。
二、病例分析产后溶血尿毒综合征PHUS是危及产妇身体健康的严重疾病,病死率高,临床医生需根据其临床症状、体征及实验室检查结果等进行综合分析才能作出准确诊断。若延误治疗时机,预后极差,在溶血停止后肾损害仍持续甚至不可逆,进入慢性病程,最终发展为尿毒症。
近年来对PHUS病因的研究取得了长足的进展。PHUS多由异常妊娠引发,常见阴道出血及血尿,子痫前期是重要诱因。国外研究发现PHUS患者中剖宫产比例较高,可能是与顺产相比,剖宫产内皮损伤、出血及感染的风险更高。由生产引起微血管内皮损伤导致级联反应是PHUS发病的关键始动环节,通过激活血管内PLT及凝血过程而最终实现。由于遗传性或获得性发生补体或调节因子基因突变,或存在调节因子自身抗体,造成补体旁路途径调节障碍或异常活化,形成膜攻击复合物,损伤内皮细胞,激活PLT导致其黏附和聚集,消耗PLT并形成微血管血栓,可能是PHUS的重要发病机制。红细胞经过狭窄的病变血管时,受到机械性损伤导致变形,发生溶血性贫血,器官和组织局部缺血损坏,引起脏器血栓微血管病变。肾脏血管内皮细胞对补体活化更敏感,血管形成广泛血栓,导致肾损伤[1,2]。
溶血尿毒综合征HUS可定义为符合以下标准中至少3项。①机械性溶血性贫血:Hb进行性下降,Hb<100 g/L,LDH 超过正常上限,镜检可见畸形或破碎红细胞。②PLT进行性减少,PLT<100×109/L。③急性、进行性肾损伤,肌酐、尿素氮异常升高,肌酐较正常水平升高1.5倍以上。④肾穿刺活检发现具有血栓性微血管病典型特征。需排除其他原因导致的溶血性贫血、PLT减少和急性肾衰竭。PHUS指产后12周内发生的HUS。因其与HELLP综合征、血栓性PLT减少性紫癜(TTP)的发病机制和临床表现极为相似,且具有个体差异性,导致早期诊断困难,需结合发病时间、肾损伤程度及产后病情进展等与二者相鉴别。HELLP综合征主要损伤的是肝脏,右上腹痛为其特征性表现。TTP除HUS的三联征外,还伴有发热和神经系统异常,且肾损伤较PHUS轻。HELLP综合征常见于经产妇孕晚期,TTP常见于孕中晚期,且产后均可改善。而PHUS多见于初产妇接近足月或产后,且肾损伤产后进行性加重[3,4]。
患者为青年女性,急性起病,以少尿为主要表现,表现为急性肾衰竭,同时伴有血液系统、神经系统症状,肝功能不全,并伴有颅内静脉栓塞,肾穿刺病理符合缺血性肾病改变伴肾小球上皮细胞损伤,诊断首先考虑血栓性微血管病。患者妊娠期间无高血压,无蛋白尿、血尿病史,诊断考虑PHUS较为明确。
PHUS一般起病较急,预后差,早期进行积极有效的治疗。PHUS内科治疗的原则包括:尽早去除病因,防止感染,合理输血,改善微循环,纠正电解质及酸碱平衡紊乱等。血栓性微血管疾病的治疗指南始终将血浆置换放在第一位,血浆置换已较为广泛地运用于PHUS,血浆置换的主要作用有:①清除血浆中的致病物质:包括免疫复合物、炎症因子、内毒素、药物等;②清除血浆中的炎症因子;③调节免疫功能:如改善单核吞噬细胞功能,调节独特型和抗独特型抗体的平衡等;在血浆置换的过程中,通过输注血浆来补充凝血因子等成分,可有效地减少血浆置换的不良反应。在血栓性微血管病的治疗指南中也指出,糖皮质激素在治疗血栓性微血管病变导致的溶血性贫血、血小板减少有一定的疗效。在血小板大于5万的情况下,使用低分子肝素及其他抗血小板聚集药物是相对安全且有效的[5,6]。
参考文献:
[1] Bruel A, Kavanagh D, Noris M, Delmas Y, Wong EKS, Bresin E, Provôt F, Brocklebank V, Mele C, Remuzzi G, Loirat C, Frémeaux-Bacchi V, Fakhouri F. Hemolytic Uremic Syndrome in Pregnancy and Postpartum. Clin J Am Soc Nephrol. 2017 Aug 7;12(8):1237-1247.
[2] Gupta M, Feinberg BB, Burwick RM. Thrombotic microangiopathies of pregnancy: Differential diagnosis. Pregnancy Hypertens. 2018 Apr;12:29-34.
[3] Alobaidi S, AlDabbagh A, Alamoudi A, Almowarey M, Akl A. Pregnancy-associated hemolytic uremic syndrome. Saudi J Kidney Dis Transpl. 2020 Nov-Dec;31(6):1180-1188.
[4] So S, Fischer E, Gangadharan Komala M, Bose B. Postpartum atypical hemolytic uremic syndrome: Evaluating thrombotic microangiopathy in the pregnant woman. Obstet Med. 2021 Jun;14(2):105-108.
[5] Fakhouri F, Scully M, Provôt F, Blasco M, Coppo P, Noris M, Paizis K, Kavanagh D, Pène F, Quezada S, Hertig A, Kissling S, O'Brien P, Delmas Y, Alberio L, Winer N, Veyradier A, Cataland S, Frémeaux-Bacchi V, Loirat C, Remuzzi G, Tsatsaris V. Management of thrombotic microangiopathy in pregnancy and postpartum: report from an international working group. Blood. 2020 Nov 5;136(19):2103-2117.
[6] Scully M, Neave L. Etiology and outcomes: Thrombotic microangiopathies in pregnancy. Res Pract Thromb Haemost. 2023 Feb 13;7(2):100084.