抗中性粒细胞胞浆抗体(ANCA)相关性血管炎(AAV)与干燥综合征(SS)均为自身免疫性疾病,二者单独发病的临床特征与诊疗策略已相对明确,但二者重叠发病的情况临床罕见,且SS存在明显的女性易感性,老年男性群体中发生二者重叠的病例更为少见,临床诊断与治疗均存在较大挑战。近期,浙江中医药大学附属第三医院(浙江省中山医院)肾内科团队报道了一例65岁男性AAV合并SS重叠综合征患者的诊疗经过,并通过系统的文献综述分析了49例同类病例的临床特征、病理表现及治疗预后,为临床识别此类重叠综合征、制定个体化诊疗方案提供了重要的参考依据,也为深入探究自身免疫性疾病重叠发病的机制奠定了临床基础。
1.病历摘要1.1 一般资料患者为65岁男性,2021年6月因“口干、眼干、乏力”入院,既往有痛风病史2年、高血压病史10年、冠状动脉粥样硬化性心脏病病史5年,长期服用美托洛尔、氯沙坦钾、阿司匹林及瑞舒伐他汀治疗,无肾脏或风湿性疾病家族史。入院前1周血肌酐从108 μmol/L逐渐升至165 μmol/L,尿常规提示蛋白尿、尿红细胞165个/μl;体格检查见颜面部、胸腹部弥漫性红斑,压之褪色,双手存在雷诺现象,其余查体未见明显异常。
1.2 实验室及影像学检查入院时生命体征平稳,血压144/56 mmHg。实验室检查:尿常规示蛋白尿、尿红细胞165 个/μl(参考值0~15个/μl),24小时尿蛋白水平341 mg/24h(参考值<150 mg/24h);血常规示白细胞5.71×109/L、血红蛋白109 g/L(参考值130~175 g/L)、血小板119×109/L[参考值(125~350)×109/L];血肌酐219.0 μmol/L(参考值57.0~111.0 μmol/L)、尿酸438 μmol/L(参考值208~428 μmol/L)。
免疫学检查:抗核抗体IgG(滴度1:320)、抗SS-A抗体、抗Ro-52抗体阳性,抗双链DNA抗体、核周型ANCA(p-ANCA)、抗髓过氧化物酶(MPO)抗体阳性,胞质型ANCA(c-ANCA)、抗蛋白酶3(PR3)抗体阴性;血清免疫球蛋白升高,IgG 41.19 g/L、Igκ 5.46 g/L、Igλ 2.54 g/L、Ig κ/Igλ比值 2.15、IgA 5.61 g/L,均超出参考范围;血清补体C3、C4、IgM、抗肾小球基底膜抗体、抗磷脂抗体谱、淋巴细胞亚群、类风湿因子均正常;乙肝表面抗原、丙肝抗体、艾滋病抗体、冷球蛋白血清学检测均阴性。
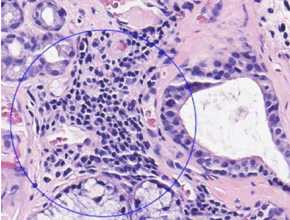
影像学及特殊检查:心电图示窦性心律;胸部 CT 示双肺磨玻璃影及肺囊肿;腮腺超声示双侧腮腺体积较小;唇腺活检示淋巴细胞和浆细胞浸润,每10 mm2 可见 4 个病灶(图1)。

图1. 唇腺活检显示淋巴细胞和浆细胞浸润
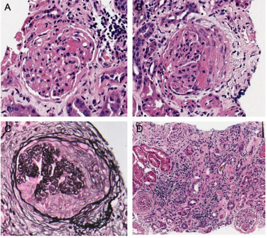
1.3 肾脏病理检查(图2)光镜下观察25个肾小球,7个表现为肾小球硬化,剩余肾小球见毛细血管襻纤维素样坏死,伴5个细胞新月体、1个纤维新月体、1个微细胞新月体,系膜细胞和基质轻度增生;肾间质见多灶性斑片状萎缩(萎缩面积约60%),伴炎症细胞(主要为淋巴细胞)浸润及纤维化。
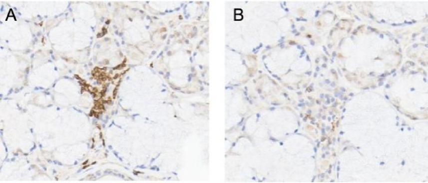
免疫荧光检查未检测到IgG、IgM、IgA、C3、C1q、淀粉样蛋白A及轻链沉积;免疫组化检查示肾小球基底膜及系膜区MPO弱阳性,浸润淋巴细胞区T细胞比例高于B细胞(图3)。
电镜示系膜区轻度增生,伴少量电子致密物沉积,基底膜节段性增厚(250~560 nm)伴节段性皱缩,上皮下偶见粗颗粒状电子致密物,足突部分融合。
病理结果符合AAV表现,同时怀疑免疫复合物介导的肾炎与SS相关。结合美国风湿病学会/欧洲抗风湿病联盟(ACR/EULAR)分类标准,确诊患者为肉芽肿性多血管炎(MPA)合并SS重叠综合征。

图2. 肾活检的病理学特征
(A)经苏木精-伊红(HE)染色在光学显微镜下(400×)观察到肾小球和毛细血管袢的坏死性新月体及纤维素样坏死。(B) 观察到细胞新月体形成及球周纤维化(HE 400×)。(C) 间期酸-银甲苯胺(PASM)染色显示慢性新月体形成、肾小球球周纤维化及毛细血管袢缺血性萎缩(400×)。(D) 观察到肾间质炎症及多灶性小淋巴细胞聚集(HE 200×)。

图3. 免疫组织化学显示:多灶性T细胞(CD3)阳性(A);局灶性B细胞(CD20)阳性(B)
1.4 治疗及随访患者确诊后予甲泼尼龙80 mg qd冲击治疗5天,联合环磷酰胺400 mg(6.67 mg/kg)免疫抑制治疗,分别于2021年6月30日、7月7日给药,糖皮质激素剂量根据病情调整。但治疗后血肌酐仍波动升高,7月18日升至465.8 μmol/L,7月21日开始每周2次血液透析。
第三次环磷酰胺给药前,患者血小板及白细胞进行性下降,最低分别至 37×109/L、1.34×109/L,骨髓活检示三系成熟分化,无明显异常,经血液科会诊诊断为继发性免疫相关性血小板减少症(ITP)。遂停用环磷酰胺,予糖皮质激素冲击、静脉注射免疫球蛋白20 g qd 治疗5天,联合粒细胞集落刺激因子、重组人血小板生成素及血浆、血小板输注。
2021年8月13日患者停用血液透析,改为口服甲泼尼龙,低热对症处理后体温恢复正常;9月中旬复查24小时尿蛋白402.30 mg,血肌酐354.6 μmol/L,抗核抗体IgG、抗SSA抗体、抗Ro-52抗体均为阳性,p-ANCA阳性,抗PR3、抗MPO抗体为阴性,胸部CT示右肺上叶空洞,结合真菌培养诊断为曲霉性肺炎,予伏立康唑治疗至11月19日,复查肺部CT示空洞缩小。
根据KDIGO指南,予利妥昔单抗行B细胞CD19清除免疫治疗,同时加用羟氯喹治疗SS。后续持续口服甲泼尼龙及羟氯喹,患者仍存在口干、眼干症状,但血肌酐稳定在240 μmol/L 左右,尿蛋白阳性、尿红细胞消失;免疫学检查示抗SSA、抗Ro-52抗体阳性,c-ANCA、p-ANCA、抗PR3、抗MPO及dsDNA抗体均阴性。患者实现AAV临床缓解,随访2年无疾病复发(图4)。

图4. 时间线
2.针对此类病例的文献综述针对同类病例的临床特征、病理表现及治疗预后,研究人员开展了一项文献综述。系统检索 Medline、Embase、Web of Science、Cochrane Library 数据库自建库至 2024 年 7 月的相关文献,纳入38篇文献共49例 AAV 合并 SS 重叠综合征患者,结合本院 1 例病例进行分析。
临床特征分析49 例患者中,女性 40 例(81.6%)。确诊为AAV的患者中位年龄 61.5 岁。表1列出了按AAV亚型划分的 49 例SS合并AAV患者的人口学特征及临床特点,包括AAV患者各脏器受累情况、SS受累情况、实验室检查。
表1. 按AAV亚型划分的 49 例SS合并AAV患者的人口学特征及临床特点
肾脏病理特征:40 例患者行肾活检,其中 16 例(40.0%)表现为寡免疫复合物新月体性肾小球肾炎(CGN)合并肾小管间质性肾炎(TIN),11 例(27.5%)为寡免疫复合物 CGN,4 例(10.0%)为 CGN 合并 TIN,4 例(10.0%)为肉芽肿性血管炎,3 例(7.5%)为局灶节段性肾小球硬化,1 例(2.5%)为肾小球及肾间质纤维化,1 例(2.5%)为坏死性血管炎。
治疗及预后:49例中,44 例(89.8%)患者使用糖皮质激素治疗,其中 29 例(59.2%)联合环磷酰胺,6 例(12.3%)联合硫唑嘌呤,5 例(10.2%)联合利妥昔单抗,4 例(8.2%)联合静脉注射免疫球蛋白,2 例(4.1%)联合羟氯喹,1 例(2%)联合来氟米特;5 例(10.2%)行血浆置换,3 例(6.1%)行血液透析。
预后方面,2 例患者因病情快速进展,发生心、肾、呼吸衰竭死亡;5 例因病理资料不全无法分型;其余患者肾功能较基线水平均得到改善或稳定。
3.讨论AAV是一种以寡克隆免疫复合物沉积和新月体性肾小球肾炎为特征的系统性自身免疫病,本例老年男性患者以血尿、血肌酐进行性升高为表现,p-ANCA/MPO抗体阳性,肾脏病理符合局灶节段性坏死性肾小球肾炎,结合2022年ACR/EULAR标准确诊MPA;同时患者抗SSA/Ro-52抗体阳性,伴口干、眼干的SS典型症状,唇腺活检结果支持SS诊断,结合2016年分类标准确诊SS,为典型的AAV与SS重叠综合征。
临床中需明确此类病例是二者重叠综合征,还是单一疾病伴另一疾病的非特异性抗体阳性。文献显示结缔组织病患者中ANCA阳性并非极罕见,约11%的SS患者ANCA阳性,有研究认为该现象仅为B细胞多克隆活化的伴随表现,无独立临床意义,但也有研究证实ANCA阳性与血管炎临床表型及预后相关。本例患者约30%肾小球见活动性新月体形成或坏死,为AAV特征性表现,而非SS常见的肾小管间质性肾炎,结合结缔组织病患者ANCA阳性率高于普通人群的特点,考虑本病例为两种独立疾病共存的重叠综合征。
针对本例患者的特征性表现,其潜在机制值得探讨:
一是一过性抗dsDNA抗体阳性,该抗体虽为系统性红斑狼疮(SLE)的高度特异性标志物,但也可在SS等其他结缔组织病中检测到,推测SS炎症过程中核成分释放诱导了该抗体产生,且患者无狼疮性肾炎特征性病理改变、抗体仅一过性阳性、血清补体正常,可排除SLE;
二是血小板减少的原因,AAV、SS自身免疫病本身及免疫抑制剂环磷酰胺均可能导致血小板减少,结合患者合并白细胞减少,最初考虑骨髓抑制,但骨髓活检无明显异常,最终诊断为继发性ITP。环磷酰胺可同时导致骨髓抑制和抗体介导的血小板免疫破坏,AAV的血小板减少可能与免疫介导的破坏、血管炎导致的消耗、中性粒细胞胞外陷阱激活增强相关,SS中的多种自身抗体也可能通过免疫复合物途径攻击或破坏血小板,因病因不明且存在风险,临床最终停用环磷酰胺。
文献综述的49例病例中,部分患者还合并类风湿关节炎、抗肾小球基底膜病、系统性硬化症等其他自身免疫病,提示此类重叠综合征患者免疫系统高度活化,发生淋巴瘤、胸腺瘤或其他浆细胞疾病的风险可能高于普通人群,需长期随访。同时临床提示,当患者临床表现复杂,无法用单一疾病解释时,应积极考虑重叠综合征的可能。
本病例也凸显了临床识别合并自身免疫病的AAV非常重要,此类患者的诊断和个体化治疗均存在挑战,治疗目标为实现并维持疾病缓解,同时最大限度减少药物相关并发症。文献证实,及时诊断并启动合适的免疫抑制治疗是管理AAV、防止疾病进展、避免脏器损伤的关键,治疗以糖皮质激素联合免疫抑制剂为主,并根据脏器受累的严重程度和范围调整方案,密切的临床和实验室监测是调整治疗方案、优化长期预后的基础。
来源:Front Med (Lausanne). 2026 Feb 24:13:1679800. doi: 10.3389/fmed.2026.1679800