发表时间:2026-02-02 14:56:09

一、病历摘要
女性,56岁。主诉:低热6周,发现蛋白尿、血肌酐升高2周。患者6周前无诱因出现午后低热,体温波动于37.5℃左右(最高38.2℃),略感畏寒,伴乏力、咽痛,咳少量黄痰。自行服用“百服宁”(对乙酰氨基酚、右美沙芬、伪麻黄碱)(共10余片)、头孢类抗生素(具体不详)等治疗后无好转。1个月前就诊于我院门诊,查WBC 11.8×109/L,Hb 148g/L,EO 1.1%,PLT 422×1012/L,诊为“急性咽炎”,予中药治疗后退热。2周前无诱因出现胃部不适,伴恶心呕吐,再次就诊查肝功能正常,SCr 143μmol/L,BUN 7.54mmol/L,Glu 6.9mmol/L;尿蛋白(++),定量为0.98g/d,尿糖(+++),尿WBC 5~10/HP。1周前测血压150/100mmHg,SCr 156μmol/L,BUN 7.7mmol/L;双肾B超提示:双肾增大12.7cm/1.6cm。为进一步诊治收入院。发病以来精神睡眠可,食欲欠佳,尿量无显著变化。否认“红眼”及畏光流泪。半月来体重下降3kg。
既往史:24年前诊为甲状腺功能亢进症伴浸润性突眼,服用甲巯咪唑治疗3年,复查甲功正常。否认长期非甾体类抗炎药(NSAIDs)及肾毒性药物服用史。否认放射性、重金属接触史。有高血压家族史。
入院查体:T 36.6℃,P 72次/分,R 18次/分,BP 170/100mmHg。自主体位,双肺呼吸音清,未闻及湿啰音;心界不大,心律齐,未闻及杂音。腹平软,肝脾肋下未触及,腹水征阴性,肠鸣音3~4次/分。双下肢无水肿。
辅助检查:血WBC 6.42×109/L,Hb 137g/L,PLT 274×1012/L,EO 3.6%,计数0.23×109/L,ESR 70mm/h;尿常规:尿糖(+++),PRO(+),WBC 3~6/HP;UTP 1.32g/d;尿NAG 39U/L,α1-MG 222mg/L;尿IgG>50μg/ml;血/尿渗透压293/414mOsm/kg。入院后第8天SCr最高达273μmol/L,BUN 7.4mmol/L,K+ 3.17mmol/L,Na+ 138mmol/L,Cl- 107mmol/L,ALB 41.5g/L。血清蛋白电泳:γ-G 51.0%。血IgG 18.1g/L,CRP 18.5mg/L,RF 30.1U/L。ANCA及ANA均阴性。甲状腺功能未见异常。
初步诊断:急性肾损伤、急性间质性肾炎可能性大;Graves病;高血压病。
二、临床诊治经过
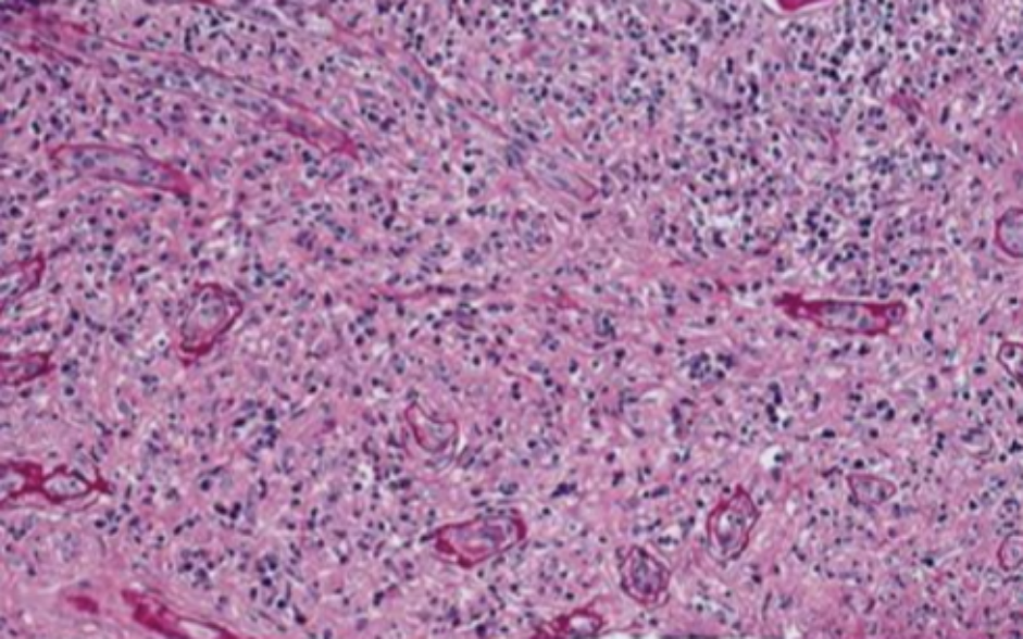
入院后7天肾活检:免疫荧光全阴性,光镜下可见13个肾小球,无明显病变,部分肾小球缺血皱缩。肾小管上皮空泡及颗粒变性,多灶状及大片状刷毛绒脱落。肾间质弥漫淋巴和单核细胞及嗜酸性粒细胞浸润。小动脉管壁增厚。电镜见肾小管上皮微绒毛脱落,肾间质较多淋巴、单核及浆细胞浸润。符合急性间质性肾炎(图1)。

图1. 病理表现
给予泼尼松30mg/d治疗,2周后复查SCr 156μmol/L,UTP 1.25g/d。由于患者肾活检时检测的抗单体CRP(mCRP)抗体为32.44%(正常<19.16%),且合并自身免疫性甲状腺疾病以及高球蛋白血症(IgG、γ-G)的特点,因而不除外TINU综合征。但住院期间眼科会诊未出现“葡萄膜炎”表现。
出院后口服泼尼松30mg/d 8周,肾功能逐渐好转,之后每2周减量2.5mg/d至停用,总疗程6个月余。治疗后1、2、3、6个月动态监测SCr 120、109、102、93μmol/L,CCr 43.4、47.7、59.4和71.0ml/min。停用泼尼松后20天(肾穿后7个月时),出现“双眼红”,眼科诊为“葡萄膜炎”,此时复查SCr 98μmol/L,CCr 68.2ml/min,给予妥布霉素、地塞米松滴眼液局部治疗可好转,但停药后频繁复发。遂在停用泼尼松3个月后加用硫唑嘌呤50mg/d治疗,疗程5个月,在此期间未再出现葡萄膜炎。但停药18个月后再次出现“眼红”,眼科复查考虑“虹膜炎”复发,再次应用典必殊治疗,并加用泼尼松10mg/d长期治疗。复查抗mCRP抗体1.76%。
最终诊断:急性肾小管间质性肾炎-葡萄膜炎综合征(TINU综合征);急性肾损伤;Graves病。
肾小管间质性肾炎是急性肾损伤的常见病因,其特征为免疫介导的肾间质损伤及炎症细胞浸润。肾脏受累一般较轻,有时可自行缓解。患者可能无症状或经历长时间的非特异性临床表现,可被误认为“流感样综合征”:体重减轻、不适、发烧、皮疹、关节痛或腹痛。根据目前的回顾性、前瞻性及个案报道,儿童人群先出现眼部症状较多,成年人群先出现肾脏表现较多。TINU综合征相关葡萄膜炎通常在TINU综合征发病前2个月或发病后14个月发生,大多数患者出现双侧突发性非肉芽肿性前葡萄膜炎,表现为红肿、疼痛和畏光,多累及双侧,但也可能没有明显的眼部症状。而临床常见的葡萄膜炎常最初为单侧受累,1周后累及对侧。
TINU综合征的诊断是一种基于全身检查结果和“典型的”葡萄膜炎的排他性诊断。临床表现包括肾功能障碍(肌酐升高)、尿成分分析异常(尿β2微球蛋白、轻度蛋白尿、嗜酸性粒细胞、白细胞管型、脓尿)和全身性“流感样症状”、血液系统异常(贫血、嗜酸性粒细胞增多、红细胞沉降率升高)、肝功能异常。TINU综合征的“典型”葡萄膜炎被描述为双侧急性前葡萄膜炎,与TINU综合征相关的肾脏炎症表现和眼部症状可发生在其他全身性疾病中,特别是结节病、干燥综合征、系统性红斑狼疮、肉芽肿性多血管炎、IgG4相关性疾病、结核病和梅毒。根据葡萄膜炎的各类典型亚类及特异的发病中位年龄,综合考虑其他典型全身症状和体征,可以与这些全身疾病进行迅速区分。基本符合中位年龄,出现眼科症状,即视力障碍、灼烧和/或眼睛发红,合并近期不明原因的以急性肾损伤为表现,临床检验或病理活检证实为间质性肾炎的病例,需完善肾脏及眼科相关专科检查进行排他性鉴别诊断[2,3]。
需要特别注意的是,受治疗肾小管-间质性肾炎(急性肾损伤)时全身应用皮质类固醇药物的影响,葡萄膜炎的自然病程可以被皮质类固醇激素掩盖或延迟,甚至可能预防葡萄膜炎的发生,在减量或停用类固醇激素的过程中可能出现眼部炎症。另外,由于眼部炎症的晚发表现,给TINU综合征的识别带来巨大挑战。加之,表现出非常轻微、非特异性的肾脏疾病相关症状难以发现和回溯,在葡萄膜炎出现时,肾脏损伤已自行恢复或刚刚出现,肾脏检查可能已经正常化,能获得的肾脏受累证据不足。
由于对TINU综合征的诊断标准仍处于不断修订和讨论的阶段,加之其具有发病率较低、漏诊率高的特点,大型多中心临床研究样本较少,目前研究多集中在系统综述或病例回顾。目前,综合糖皮质激素全身或局部应用、免疫抑制剂全身应用对改善肾脏及眼部症状有较好的疗效,但目前葡萄膜炎复发率较高。成年人群中发展为慢性肾脏病的比例高于儿童人群,儿童葡萄膜炎的病程较成年人群更长,葡萄膜炎复发更频繁。
早期的研究报道显示只有大约10%的TINU综合征患者需要全身免疫调节治疗,但研究显示目前进行全身治疗所占比例更高。其可能原因是成年人群发生慢性肾脏病的概率较高,儿童人群眼部症状易复发。故对于葡萄膜炎复发、肾小管-间质浸润明显、实验室检查转归不佳的患者,加用免疫抑制剂辅助治疗能够使眼部症状复发得到有效控制,如甲氨蝶呤、霉酚酸酯、环孢霉素、硫唑嘌呤、环磷酰胺,但仍需长期局部激素或免疫抑制剂治疗。综合目前的病例报道,经过反复肾脏病理活检证实,免疫抑制剂也能够控制肾小管-间质炎症,存在延缓或阻断肾组织慢性病变的可能,但成年人群慢性肾脏病的发生仍需大量临床研究进行证实[4,5]。
参考文献
[1] Regusci A, Lava SAG, Milani GP, Bianchetti MG, Simonetti GD, Vanoni F. Tubulointerstitial nephritis and uveitis syndrome: a systematic review.Nephrol Dial Transplant. 2022;37(5):876-886.
[2] Amaro D, Carre?o E, Steeples LR, Oliveira-Ramos F, Marques-Neves C, Leal I. Tubulointerstitial nephritis and uveitis (TINU) syndrome: a review.Br J Ophthalmol. 2020;104(6):742-747.
[3] Pakzad-Vaezi K, Pepple KL. Tubulointerstitial nephritis and uveitis.Curr Opin Ophthalmol. 2017;28(6):629-635.
[4] Joyce E, Glasner P, Ranganathan S, Swiatecka-Urban A. Tubulointerstitial nephritis: diagnosis, treatment, and monitoring.?Pediatr Nephrol. 2017;32(4):577-587.
[5] Sanchez-Quiros J, Giralt L, Fonollosa A, Robles I, Carre?o E. Diagnostic and Management Strategies of Tubulointerstitial Nephritis and Uveitis Syndrome (TINU): Current Perspectives.?Clin Ophthalmol. 2023;17:2625-2630.